maart 2025 – juli 2025
Mijn tandarts-verhaal start in België, een land in Europa, dat zichzelf op de borst klopt voor een goede en betaalbare gezondheidszorg. Mijn ervaring van de laatste jaren onderschrijft dit beeld niet. Het is verbijsterend hoe moeilijk het is om een huisarts of een tandarts te vinden. Ik was jarenlang tevreden met mijn tandarts waar ik in 1990 met knikkende knieën binnenstapte. De schrik zat er goed in na enkele slechte ervaringen, maar dat loste hij allemaal op met veel geduld. In 2019 stopte de man ermee en toen begon de ellende opnieuw. Ik kon per uitzondering terecht bij een grote tandartsenpraktijk, maar de wachttijd was lang. Na drie maanden mocht ik eindelijk op consultatie en dat was geen meevaller. De nieuwe tandarts was bruut en de schrik sloeg opnieuw toe. Een andere tandarts? “Zo werken wij niet mevrouw, die kan je hier niet zelf kiezen.” De tandartsbezoeken verwaterden tijdens corona en daarna werd het alleen maar erger. Mijn gebit ging achteruit en ik moest meermaals in het buitenland (Spanje, Bosnië en Herzegovina) geholpen worden wegens een abces of acute tandpijn. In België krijg ik dan al lang geen terugbetalingen meer omdat ik niet in orde ben met de jaarlijkse controles. De pogingen om in Geel en omstreken een bereidwillige tandarts te vinden draaiden op niets uit. “Patiëntenstop” is het nieuwe Belgische modewoord. Hoe is het in godsnaam zo ver kunnen komen?
Mijn gebit takelde ondertussen verder af en grotere ingrepen werden noodzakelijk. Bosnië en Herzegovina is zowat mijn tweede thuis en gelukkig ken ik er veel mensen. Na amper een dag rondvragen, zat ik in een tandartsstoel in MrKonjic Grad om enkele afgebroken stukken te repareren. Er moest een vertaler mee want de man spreekt geen Engels. De tandarts werkt accuraat, pijnloos en snel, maar hij maakt ook duidelijk dat mijn gebit meer nodig heeft dan hier en daar wat reparaties. Dat kan hij niet bieden bij gebrek aan het juiste materiaal. De rekening bedraagt amper 35 €. De tandarts verwijst door naar een grotere praktijk in Banja Luka, maar ik besluit zelf op zoek te gaan. Er volgt een lange periode van informeren. Mijn standaardvraag aan Bosnische bekenden luidde: “Wie is jouw tandarts en mag ik je tanden eens bekijken?” En zo kom ik uiteindelijk terecht bij Dental Centar Marković in Sarajevo.
Een eerste mail met de vraag om een advies-afspraak wordt beantwoord na amper een dag. De allereerste ontmoeting vindt plaats in maart van dit jaar. Dokter Jasmin Kulenović stelt me gerust, bekijkt, bestudeert, maakt foto’s en komt met een plan dat dezelfde avond per mail verstuurd wordt zodat ik het rustig kan doorlezen. Bij elke behandeling staat de prijs correct aangegeven. Hij stelt voor om 21 zirkonium kronen te plaatsen en een implantaat. Er zijn meerdere afspraken nodig en de tandarts wil alles stap voor stap uit te leggen. Gezien mijn schrik voor de tandarts en de horrorbeelden die daarmee gepaard gaan, wil ik het allemaal niet weten. Ik zeg hem dat hij beter niets uitlegt als hij wil dat ik kom opdagen. In april start de behandeling. Eerst worden alle tanden verstevigd. Oude vullingen gaan eruit, nieuwe komen in de plaats. Hier en daar is een wortelkanaalbehandeling nodig. Mijn eigen tanden vormen de fundamenten voor de toekomstige kronen, dus alles moet in orde zijn.

In juni volgt de volgende en een meer ingrijpende stap. De tanden uit de onderkaak en bovenkaak worden stuk voor stuk afgeslepen tot stompjes en dat zijn geen plezierige consultaties. Ik zit twee keer, drie uur aan een stuk in de stoel en het geluid van het boren en slijpen is absoluut niet leuk, maar wel pijnvrij. Dokter Jasmin houdt mijn aangezicht voortdurend in’t oog en hij excuseert zich meermaals omdat hij denkt dat hij me pijn doet. In realiteit reageer ik steeds verschrikt bij de veranderlijke geluiden van het boren en slijpen. Na deze behandeling worden voorlopige plastieken kronen geplaatst. Nu komt ook de kleurkeuze aan bod: wit, witter of witst. Op geen enkel moment word je tandeloos op straat gestuurd. De plastieken kronen zijn oefenkronen. De volgende maand is het vooral voelen en ervaren. Is de kleur goed? Gaat het bijten vlot? Passen de tanden goed op elkaar? Zijn er pijnlijke zones? De kronen zijn in het begin een beetje warm- en koudgevoelig, maar dat verbetert snel. Er is een probleempje met de linker bovenkaak waar een tand een beetje te lang lijkt. Het bijten verloopt aan die kant een beetje stroef.

Dat probleem werd vorige week aangepakt. Pas als ik helemaal tevreden ben, worden de zirkonium kronen gemaakt. Daar krijgt dokter Jasmin hulp bij van een computerspecialist. Hij ontwerpt het ideale gebit en maakt de kronen zodat ze perfect passen. Vorige woensdag werden de 21 plastieken kronen vervangen door zirkonium exemplaren. Het was niet de meest toffe ervaring. De nieuwe kronen worden gecementeerd en er wordt nogal getrokken en gesleurd aan je hoofd. Geen paniek, het gebeurt allemaal onder verdoving. Als de behandeling afgerond is, loop ik al kwijlend als een baby, maar oh zo gelukkig naar buiten.

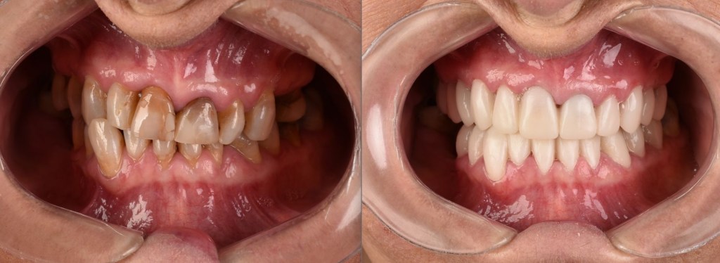
Dokter Jasmin vertelt dat het nu ongeveer een half jaar duurt om helemaal gewoon te worden aan de nieuwe tanden. Ze kunnen nog een tijd gevoelig blijven en bijten gaat niet altijd even vlot. Ik trek het me allemaal niet aan, want het was vroeger allemaal veel erger. Voortaan heb ik een stralende glimlach en dat is al heel lang geleden. Met dank aan Dental Centar Marković, waar het nooit een probleem was om snel een afspraak te maken, waar ik altijd terecht kon met vragen en bezorgdheden en dat allemaal aan een veel goedkoper tarief dan in België. Ik ga de prijs niet vernoemen omdat die voor iedereen anders is, afhankelijk van wat er precies moet gebeuren. Ik ga met enige bezorgdheid weer naar België, goed wetende dat er waarschijnlijk helemaal geen hulp meer komt als er zich in de toekomst een probleem voordoet. De tandartspraktijken in België gaan ervan uit dat iemand een buitenlandse behandeling ondergaat voor de prijs. Dat is bij mij absoluut niet het geval, al is het natuurlijk wel mooi meegenomen. Ik kon gewoon bij niemand terecht waar ik me goed bij voelde. Ik wil jullie de voor- en na foto niet onthouden. Opgepast, die is niet voor gevoelige kijkers. Op de tweede foto staan nog steeds de voorlopige plastieken kronen. Op het einde van deze maand ga ik nog een keer terug voor een nacontrole en dan komt hier een nieuwe professionele foto van het definitieve resultaat.




je ziet er knap uit samen met je tandarts en assistent. Een dapper besluit hoor
LikeGeliked door 1 persoon
INgrid, wat een verhaal, mooi dat het allemaal in orde gekomen is!
Gelukkig ken ik die problemen niet
LikeGeliked door 1 persoon
Ongelofelijk verhaal! D
LikeGeliked door 1 persoon
You are a good story teller. Even a mundane story about teeth became a wonderful read. Your teeth look great. Fingers crossed you will have no emergency while in Belgium.
LikeGeliked door 1 persoon
I just fly back if there is a problem.
LikeLike
You are a good story teller. Even a mundane story about teeth became a wonderful read. Your teeth look great. Fingers crossed you will have no emergency while in Belgium.
LikeGeliked door 1 persoon
Het geeft te denken als je in het buitenland sneller en goedkoper geholpen wordt dan in België en Nederland. Dapper van je om toch voor het buitenland te kiezen. En weer een mooi verhaal.
LikeGeliked door 1 persoon
Ingrid dat ziet er heel fraai uit. Heel goed dat je dat aangedurfd hebt. Mijn complimenten. Groetjes Margot
LikeGeliked door 1 persoon
Hoi Ingrid,
Stoer van je dat je dit hele verhaal durft te delen en nog stoerder dat je over je angst bent heengestapt. De resultaten zien er top uit, heel mooi geworden. Hopelijk schrijf je nog veel over je belevenissen.
Groeten uit Nrd Holland, Henk
LikeGeliked door 1 persoon
Prachtig om te zien veel geluk met je nieuwe bijtertjes
grtjs ria en ludo
LikeGeliked door 1 persoon